Braces, whether metal or ceramic need to be precisely placed by your orthodontist, and adjusted every 4-6 weeks, so that you can get a fantastic smile at the end.
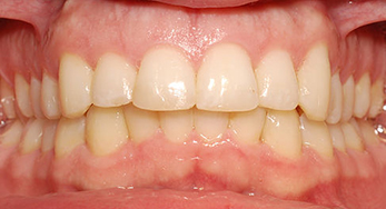
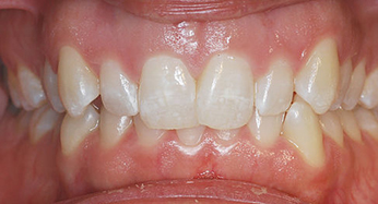
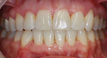
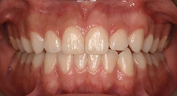
Treatment with braces, lasted approximately 2.5 years, with no extraction of adult teeth.
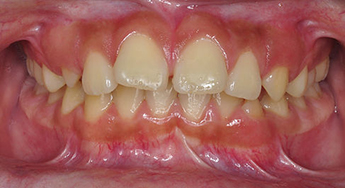
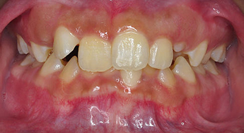
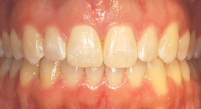
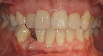
Treatment with braces, lasted just under 2 years, with removal of 4 adult side teeth.
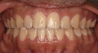
Treatment with braces and an expander, lasted approximately 2.5 years, with removal of 2 upper side teeth.
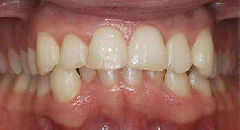
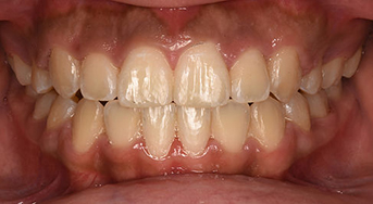
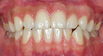
Treatment with braces, lasted approximately 2.5 years, with extraction of 2 upper teeth. A particular focus was on reducing the gap between the front top and bottom teeth.
Clear aligners are an excellent method of getting that smile you always wanted, and often can work just as well as braces, for both teens and adults. Ask the orthodontist if you're a good candidate.
Treatment with Invisalign aligners, lasted approximately 1.5 years, with no extractions, and one refinement stage.
Treatment with Invisalign aligners lasted just under 2 years with no extractions and no refinement stage. Elastics were used to correct the bite and center the teeth.
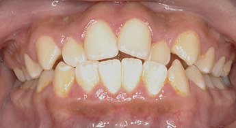
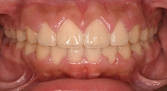
Treatment with Invisalign completed in 17 months with no extractions and one refinement stage. All crowding was eliminated and flared teeth retracted to improve smile.
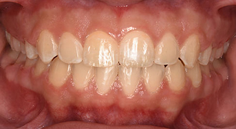
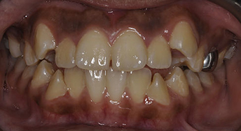
This complex extraction case in which the patient was missing an upper canine tooth was treated with Invisalign in less than 2 years with one refinement. The smile and alignment of the midlines was notably improved.